Skip to main content
Home
About
Our Team
Technology
Services
View All
Family Dentistry
Preventive Dentistry
Cosmetic Dentistry
Crowns and Bridges
Dental Implants
Tooth-Colored Fillings
Dentures and Partials
TMJ/Bruxism Treatment
Teeth Whitening
Gum Disease Treatment
Smile Gallery
Patient Info
View Patient Info
Testimonials
Financial
FAQs
Contact
North End Dental
Dr. Alice Zeigler and Dr. Andrew Chrisman
Request an Appointment
Like us on Facebook
Leave a Google Review
(208) 344-0134
General and Aesthetic Dentistry
North End Dental
>
Smile Gallery
>
Smile Transformation
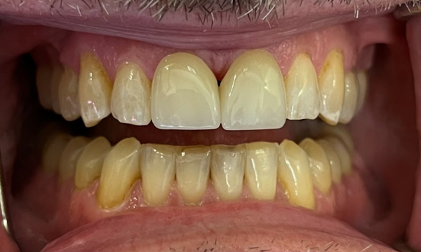
Smile Transformation
Return to Smile Gallery
Previous
Drag the arrows back and forth to view complete Before and After views
Are You Ready to Book Your Next Dental Visit?
Contact Us
OK!
×
×
Contact Us Today
Give Us A Call
North End Dental -
(208) 344-0134
Send Us an Email
Request an Appointment
Contact Us
Ready to Schedule an Appointment?
Book Online
Have Questions? Contact Us:
Required Field
Your Name:
Phone:
Email:
Are you a new patient?:
Are you a?
New Patient
Current Patient
How would you like us to contact you?
Please choose
Email
Call
How did you hear about us?
Please choose
I'm an existing patient
Google/Bing
Mailer
Word of mouth
Social media
Other
Who Referred You?:
Appointment Preferences
Monday
Tuesday
Wednesday
Thursday
Friday
Your Message:
This site is protected by reCAPTCHA and the Google
Privacy Policy
and
Terms of Service
apply.
Sending...
×
This Patient's Experience
Loading Testimonial...
Loading Case...